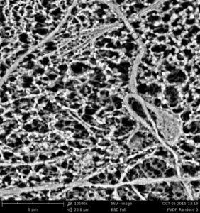
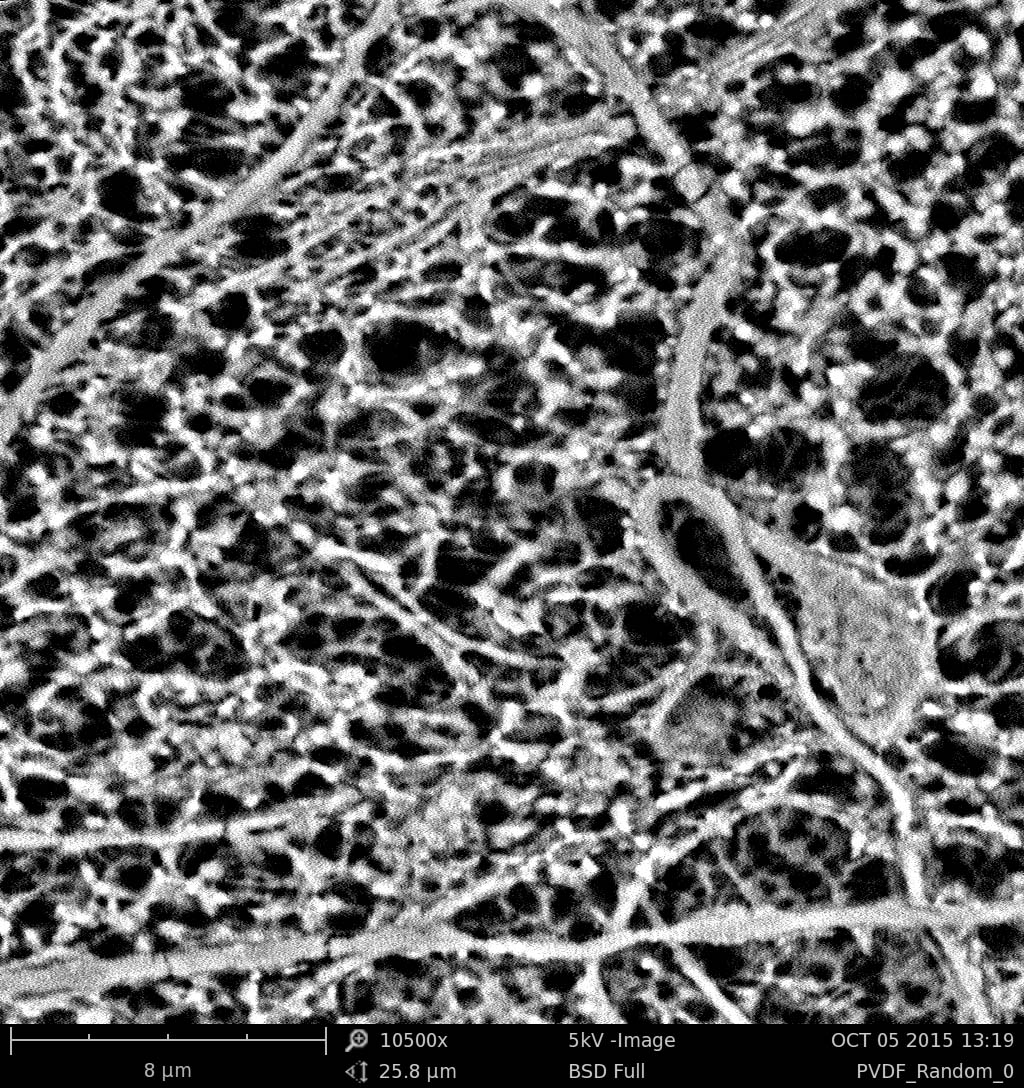
SEM Imaging of PVDF Fibers